
Воронежская область стала шестой в стране по приросту заболевших коронавирусом
©
В Воронежской области за сутки зафиксировали 148 новых случаев коронавируса. Общее число случаев COVID-19 в Воронежской области с начала пандемии достигло 84 672. Четыре человека скончались (всего - 3 498), выздоровел 141 человек. Об этом в пятницу, 28 мая, сообщили в пресс-службе департамента здравоохранения региона.
За неделю с 20 по 26 мая в регионе бесплатные лекарства получили 1515 пациентов с подтвержденным COVID-19, которых лечили амбулаторно. Продолжается вакцинация.
Подписывайтесь, чтобы первыми узнавать о важном:
Другие новости Здоровье
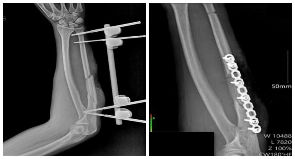
Врачи спасли воронежцу руку после сложного перелома
Число заболевших ОРВИ и гриппом в Воронежской области продолжает расти
202 экстренных вызова по ковиду случились в Воронежской области за неделю
В Воронежской области снизилась заболеваемость гриппом и ОРВИ



